450 647-1818
Accueil
Traumatismes maxillofaciaux

Traumatismes maxillo-faciaux

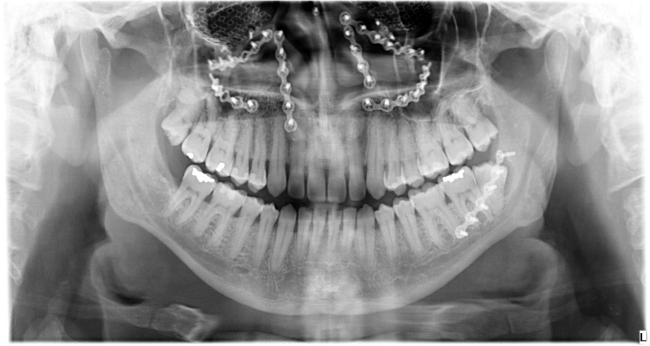
Les spécialistes en chirurgie buccale et maxillo-faciale ont la formation nécessaire pour traiter les patients ayant subi un traumatisme facial. La traumatologie maxillo-faciale comprend tout les types de fractures des os du visage, du front au menton, en incluant les plaies ou lacérations de la peau et des tissus mous, ainsi que les traumatismes dento-alvéolaires.

Les fractures les plus fréquentes sont celles de la mandibule (mâchoire inférieure), celle du tiers moyen du visage (maxillaire supérieur, os malaire, plancher de l’orbite).

La consultation initiale est généralement faite en milieu hospitalier. La chirurgie pour traiter les fractures est faite sous anesthésie générale. Une hospitalisation de courte durée est nécessaire dans la majorité des cas. Les cas plus complexes pourraient nécessiter une période d’hospitalisation plus longue.

1

1

Traumatisme maxillofacial

1

 

Traumatisme maxillofacial

2