450 647-1818
Accueil
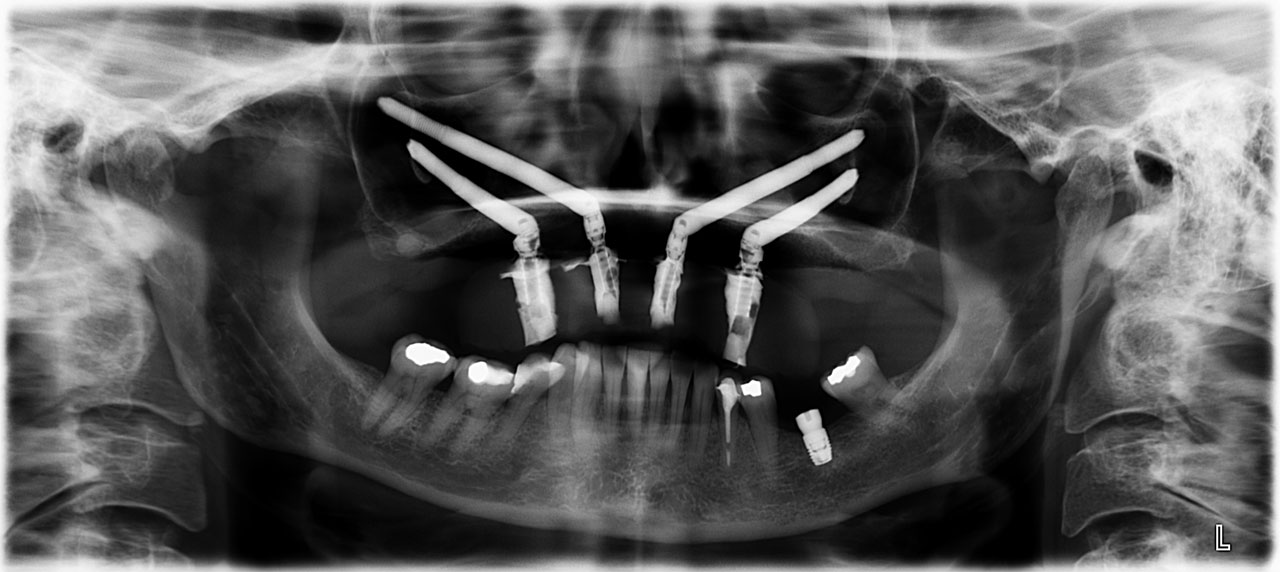
Implant zygomatique

Les implants zygomatiques

Les implants zygomatiques sont utilisés dans la mâchoire supérieure lorsque le volume osseux est insuffisant pour procéder à la mise en place d’implants conventionnels. Après l’extraction des dents, l’os de la mâchoire disparaît graduellement. Ce phénomène naturel cause une atrophie osseuse qui s’aggrave avec le temps avec le port d’une prothèse complète conventionnelle.

Dans les cas où les patients présentent une atrophie osseuse sévère et importante, il n’est pas possible de procéder à la mise en place d’implants conventionnels due à une quantité et une qualité osseuse insuffisantes. Pour ces patients, les implants zygomatiques représentent une solution de traitement. Les implants zygomatiques sont beaucoup plus longs que les implants conventionnels et sont placés au niveau de l’os de la joue (os zygomatique ou os malaire). Ces implants permettent l’ancrage et la stabilité pour la confection d’une prothèse fixe temporaire. La pose d’implants zygomatiques est planifiée par ordinateur à l’aide d’un logiciel qui permet de déterminer la position idéale des implants pour obtenir une meilleure intégration et une meilleure fonction. La chirurgie s’effectue sous anesthésie locale avec sédation intraveineuse ou sous anesthésie générale. La confection d’une prothèse complète fixe temporaire peut être effectuée la journée même ou le lendemain de la chirurgie (dans la plupart des cas).

Implant zygomatique
radiologie

Les avantages des implants zygomatiques

  • Les greffes osseuses majeures sont évitées.
  • Confection d’une prothèse fixe temporaire le jour même ou le lendemain (dans la plupart des cas).
  • Réduction de la durée du temps de traitement.
  • Taux de succès élevé.