450 647-1818
Accueil
Chirurgie orthognatique

Chirurgie orthognatique

La chirurgie orthognatique (ou chirurgie correctrice des mâchoires) est indiquée lorsqu’il existe un défaut d’alignement entre la mâchoire du haut (maxillaire supérieur) et la mâchoire du bas (mandibule). Ce défaut d’alignement est nommé malocclusion dento-squelettique.

Le manque d’équilibre entre les deux mâchoires peut entraîner des difficultés à mastiquer, des problèmes d’élocution ou de respiration (apnée du sommeil), des douleurs aux dents, à l’articulation de la mâchoire ou aux muscles de la mastication, ainsi que des défauts esthétiques.

Ce manque d’alignement peut se traduire par des mâchoires trop avancées, reculées ou trop étroites l’une par rapport à l’autre, par un excès de gencive visible au sourire, une difficulté à fermer les lèvres, par un menton fuyant ou trop prononcé ou par une asymétrie au niveau du visage.

La majorité des patients nous est référée par les orthodontistes lorsqu’il s’agit de cas complexes et que la chirurgie orthognatique s’avère nécessaire. Dans ces cas, le traitement orthodontique, combiné à la chirurgie permettra d’obtenir des résultats supérieurs au traitement orthodontique conventionnel qui, à lui seul, ne permettrait pas un alignement dentaire idéal ou adéquat.

Consultation

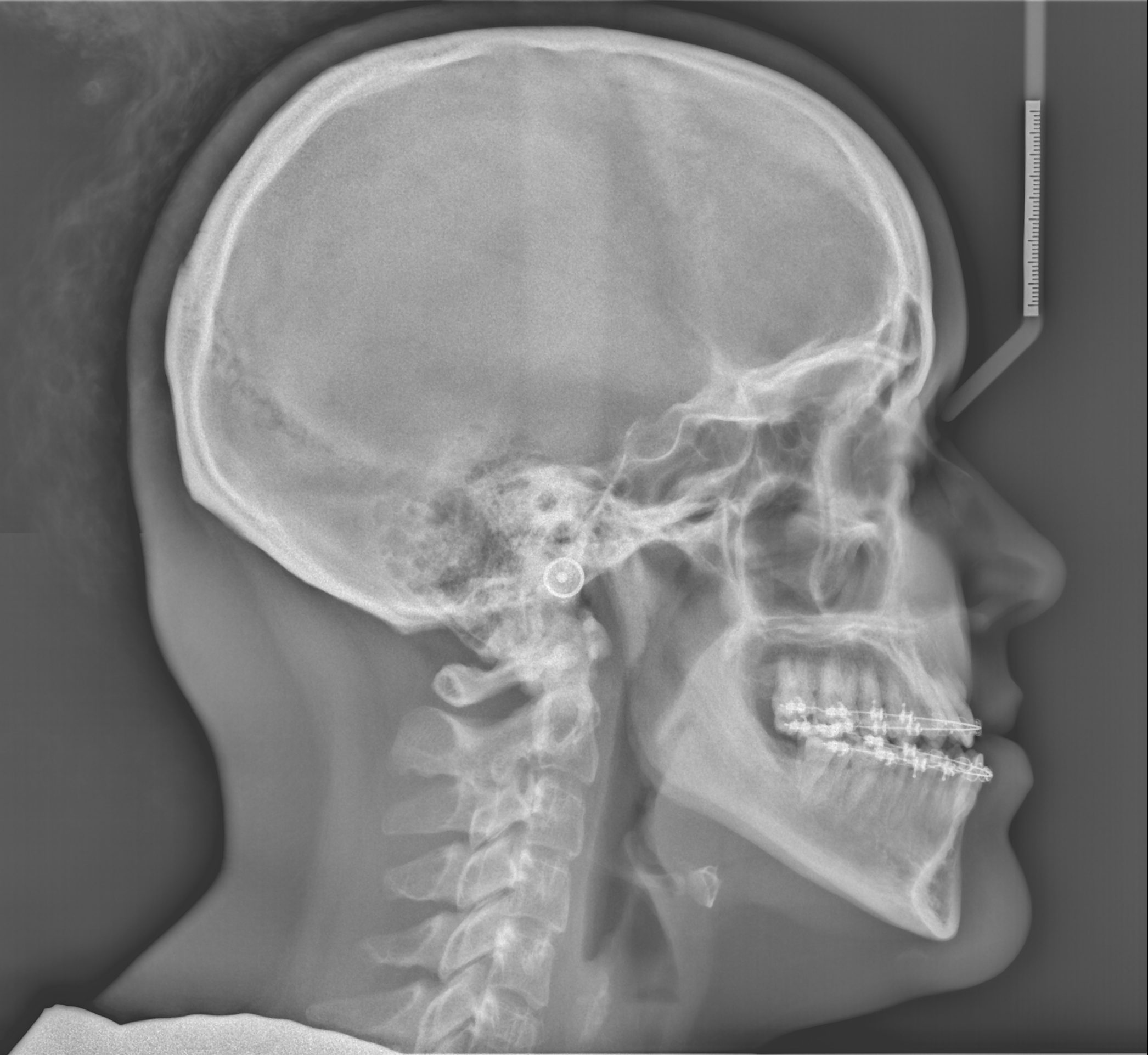
Lors de la consultation initiale, un examen clinique et radiologique complet du visage, des maxillaires et de l’occlusion sera effectué. Les objectifs du traitement, la procédure chirurgicale, les bénéfices et les risques potentiels seront discutés. Nous prendrons tout le temps nécessaire pour répondre à toutes vos questions, inquiétudes et interrogations concernant la chirurgie. Nous travaillerons en équipe avec votre orthodontiste. Un rapport de consultation lui sera envoyé après la consultation afin de lui faire part de nos recommandations, de finaliser le plan de traitement et de planifier le moment idéal pour procéder à la chirurgie.

Avant la chirurgie

L’orthodontiste effectuera la phase de redressement et d’alignement de vos dents à l’aide d’appareils orthodontiques (broches ou gouttières Invisalign). Cette phase dure de 12 à 24 mois de façon générale. Au cours de cette période, il vous sera possible de nous revoir afin de répondre à vos questions si nécessaire.

De plus, les dents de sagesse devront être extraites afin de permettre une guérison complète de l’os avant d’effectuer la chirurgie orthognatique. Lorsque votre orthodontiste jugera votre alignement dentaire adéquat, il informera notre équipe.

Une date pour la chirurgie à l’hôpital ainsi que la date du rendez-vous pour la préparation de celle-ci seront alors fixées par notre clinique. Le rendez-vous de planification et de préparation chirurgicale aura lieu à la clinique environ 2 à 3 semaines avant la chirurgie, selon le type de chirurgie planifiée.

Ce rendez-vous consiste en la prise de mesures, de radiographies, de modèles et de photos. La chirurgie est planifiée et effectuée dans un premier temps en laboratoire et par la suite reproduite à la salle d’opération.

Nous utilisons de façon routinière les plus récentes techniques de planification chirurgicales par ordinateur. À l’aide des radiographies en trois dimensions (3D), un scan complet de votre squelette facial sera effectué.

À l’aide de ce scan et de vos modèles, la planification de votre chirurgie s’effectuera de façon virtuelle. Cette nouvelle technique permet de repositionner vos maxillaires et d’effectuer votre chirurgie orthognatique en trois dimensions de façon plus précise et d’obtenir de meilleurs résultats.

Cette planification chirurgicale par ordinateur est ensuite reproduite lors de votre chirurgie.

La chirurgie

La chirurgie s’effectue en milieu hospitalier et se déroule sous anesthésie générale. Une hospitalisation de 24 à 48 heures est habituellement nécessaire suite à la chirurgie. Une période de convalescence de 2 à 4 semaines est à prévoir pour la majorité des patients.

Après la chirurgie

Des visites de suivi postopératoire seront effectuées jusqu’à la fin du traitement orthodontique. Les rendez-vous sont plus fréquents immédiatement après la chirurgie et s’espaceront par la suite selon l’évolution et l’amélioration des symptômes. Environ quatre semaines après la chirurgie, votre orthodontiste pourra poursuivre le traitement orthodontique, afin d’effectuer la phase de finition et de finaliser le traitement orthodontique.